Catalog Number|Packaging
Mat. No |
Ref. No |
No. of preps |
|
4993550 |
GDP642-DE | 48 |
-
Features
● Fast: Ultra-pure DNA can be obtained by running TGuide S16 for 40 minutes.
● Diversity: Single and double strand DNA fragments and circular plasmid DNA.
● Efficiency: Unique magnetic beads and specialized buffer make it possible to recover the largest amount of the target DNA of high purity.
-
Description
This product adopts magnetic beads and a unique buffer system to recover DNA quickly and effciently from TAE/TBE gel. The uniquely embedded magnetic beads have a strong affnity for nucleic acid under certain conditions. When the conditions are changed, the magnetic beads can release the absorbed nucleic acid to rapidly separate and purify it. The kit can be used to remove impurities such as protein, other organic compounds, inorganic ions and oligonucleotide primers. It can recover 100 bp~15 kb DNA fragments, with a recovery rate of more than 80%.
-
Kit Contents
-
Applications
The DNA recovered by this kit can be used for a series of common downstream applications, including digestion, PCR, sequencing, library screening, ligating, transformations and other experiments. -
Storage Condition
The kit can be stored under dry conditions at room temperature (15~30°C) for 12 months. -
Important Notes
● To use the TGuide Smart DNA purification Kit, you must have the TGuide Smart DNA purifcation Kit (program no. DP642) installed on the TGuide S16/S32 pro Nucleic Acid Extractor.
● When cutting the gel, UV illumination time should be controlled to avoid damage to DNA.
● TAE electrophoresis buffer is optimal if the next step is more demanding.
● The recovery rate is affected by the initial DNA input amount and elution volume. Lower initial DNA input amount and elution volume will lead to lower recovery rate.
-
Reagent Composition
-
Program
● The extraction process of S16 provided for DP642 is shown in the following table:
-
Related Products
● Instrument and Accessories:
● TGuide Smart Reagent Kits:
Experimental Example
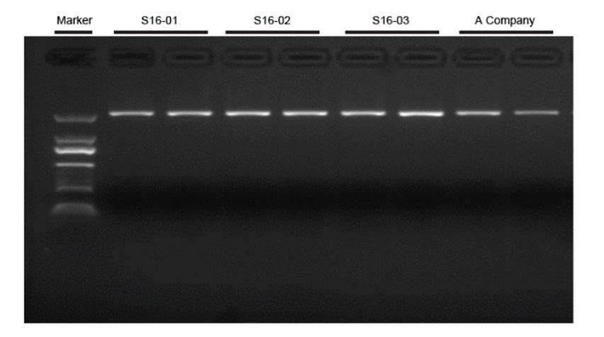
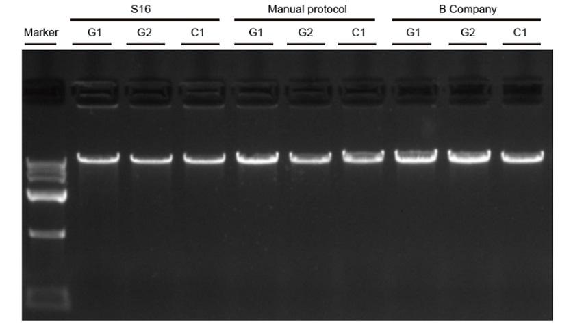
300 bp segment agarose gel DNA purification and recovery
Agarose gel concentration :1.5%(TBE)
Loading
volume: 8 μl
Marker: 50 bp DNA ladder, TIANGEN
S16-01, S16-02, and S16-03 represent the parallel sample purification and recovery experiment using 3 TGuide S16 Nucleic Acid Extractors with TGuide Smart DNA Purification Kit (4993550) at the same time.
A Company: the manual spin-column extraction kit of a well-known brand
-
Sort by
-
Date
Date(
)
Date
Date(
)
Impact Factor
IF(
)
Impact Factor
IF(
)

Inquire
